Prendre rendez-vous pour votre IRM du canal anal à Paris sur Doctolib – Centre de radiologie IMBM Paris
Quand pratique-t-on une IRM de la parotide ?
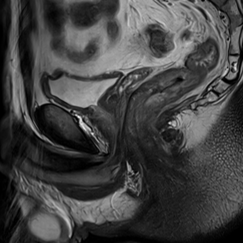
Cet examen est réalisé pour analyser les différentes structures anatomiques du canal anal;
Le canal anal est le segment terminal du tube digestif, faisant suite au rectum. Il mesure 3 à 4 cm.
Cette IRM est réalisée en cas de douleurs, de masse anale, de suspicion de cancer, de fistule.
Quelles sont les précautions à prendre pour une IRM du canal anal au centre IMBM à Paris ?
Lors de la réalisation de votre IRM du canal anal au centre IMBM à Paris, dans le 18ème, vous serez guidé par le manipulateur en radiologie. Il est nécessaire de suivre les contre-indications habituelles à l’ IRM:
- Pacemaker non compatible IRM
- Défibrillateur cardiaque implantable
- Certaines pompes implantées (pompe à insuline, pompe à médicaments)
- Implants cochléaires non compatibles
- Clips métalliques anciens dans le cerveau (ex : pour anévrisme)
- Corps étranger métallique dans l’œil (éclat de métal)
Comment se déroule une IRM du canal anal au centre IMBM Paris ?
L’examen dure environ 20 minutes. Le manipulateur vous guidera . Il sera nécessaire de rester strictement immobile. Une injection de produit de contraste à base de godilinium est souvent réalisée.
Une fois l’examen terminé, les clichés et un compte-rendu vous sont remis par le radiologue (temps d’attente : entre 30 et 45 minutes).
Si vous souhaitez quitter le cabinet uniquement avec les clichés, vous pourrez récupérer le compte rendu sur Internet, directement sur notre site, disponible à partir de 21h.
Quels sont les résultats possibles d’une IRM du canal anal ?
Cette examen permets de diagnostiquer:
- Les tumeurs .
- Les fistules .
- Les abcès de la marge anale.
Quel est le prix d’ une IRM du canal anal au centre IMBM Paris ?
Si vous souhaitez plus de précisions sur les tarifs d’une IRM du canal anal , vous pouvez joindre le secrétariat au 01.42.29.56.06.
Nous réalisons le tiers payant sur la part sécurité sociale ce qui limite l’avance des frais.
Le centre d’imagerie est conventionné avec option OPTAM afin d’assurer un remboursement satisfaisant par les mutuelles. Nous accueillons les patients CMU, C2S, AME, ALD, ACS et les 100%. Le centre est accessible aux brancards et aux fauteuils roulants, permettant un accès des patients hospitalisés en clinique, en maison de retraite (EHPAD), ou à l’hôpital.
Prendre rendez-vous pour votre IRM du canal à Paris
La clinique de scanner et d’ IRM IMBM (Imagerie Médicale Batignolles Montmartre) se situe dans le 18ème arrondissement, à deux pas du 17ème et du 9ème arrondissement. Il est accessible également depuis Saint-Denis, Saint-Ouen, Colombes , Asnières, Gennevilliers . Vous pouvez prendre votre rendez-vous pour votre IRM du canal anal sur Doctolib. Vous pouvez également nous appeler au 01 42 29 56 06.
