Prendre rendez-vous pour votre IRM cerebrale à Paris sur Doctolib – Centre IMBM Paris
Quand pratique-t-on une IRM encephalique ?
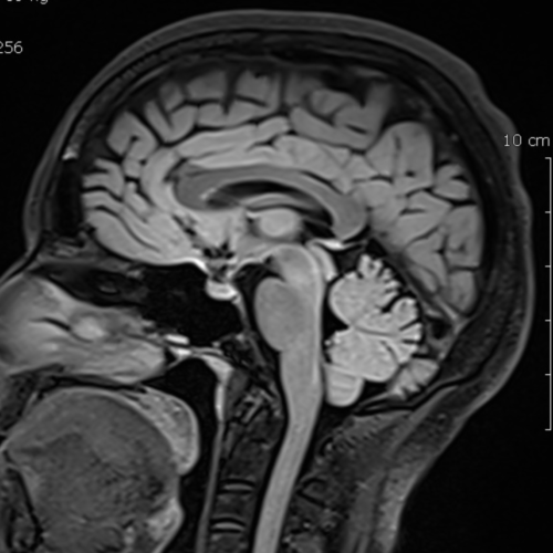
Cet examen est réalisé pour analyser le cerveau, le cervelet, l’hypophyse, les sinus, le polygone de Willis, les veines cérébrales. Il est réalisé en cas de céphalées, maux de têtes, troubles de la vision, déficit moteur ou neurologique.
Quels sont les précautions à prendre pour une IRM cérébrale au centre IMBM à Paris ?
Lors de la réalisation de votre IRM encéphalique au centre IMBM à Paris, dans le 18ème, vous serez guidé par le manipulateur en radiologie. Il est nécessaire de suivre les contre-indications habituelles à l’ IRM notamment l’absence de pace maker .
Comment se déroule IRM cérébrale au centre IMBM Paris ?
L’examen dure environ 15 minutes. Le manipulateur vous guidera . Il sera nécessaire de rester strictement immobile.
Une fois l’examen terminé, les clichés et un compte-rendu vous sont remis par le radiologue (temps d’attente : entre 30 et 45 minutes).
Si vous souhaitez quitter le cabinet uniquement avec les clichés, vous pourrez récupérer le compte rendu sur Internet, directement sur notre site, disponible à partir de 21h.
Quels sont les résultats possibles d’une IRM encéphalique ?
Cette examen permets de diagnostiquer:
- les leucopathies classées Fazekas
- les tumeurs
- les anévrysmes
- les malformations vasculaires
- les anomalies ventriculaires
- les malformations cérébrales (ex Chiari)
- les AVC
- les hémorragies
Quel est le prix d’ une IRM cerebrale au centre IMBM Paris ?
Nous réalisons le tiers payant sur la part sécurité sociale ce qui limite l’avance des frais. Si vous souhaitez plus de précisions sur les tarifs, vous pouvez joindre le secrétariat au 01.42.29.56.06
Le centre d’imagerie est conventionné avec option OPTAM afin d’assurer un remboursement satisfaisant par les mutuelles. Nous accueillons les patients CMU, AME, ALD, ACS et les 100%. Le centre est accessible aux brancards et aux fauteuils roulants, permettant un accès des patients hospitalisés en clinique, en maison de retraite (EHPAD), ou à l’hôpital.
Prendre rendez-vous pour votre IRM encephalique à Paris
Le centre d’ IRM IMBM (Imagerie Médicale Batignolles Montmartre) se situe dans le 18ème arrondissement, à deux pas du 17ème et du 9ème arrondissement. Il est accessible également depuis Saint-Denis, Saint-Ouen, Colombes , Asnières, Gennevilliers . Vous pouvez prendre votre rendez-vous pour votre IRM cerebrale sur Doctolib. Vous pouvez également nous appeler au 01 42 29 56 06.
