Prendre rendez-vous pour votre IRM ORL cervicale à Paris sur Doctolib – Centre de radiologie IMBM Paris
Quand pratique-t-on une IRM ORL cervicale ?
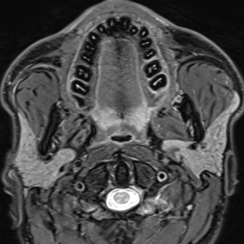
Cet examen est réalisé pour analyser les différentes structures anatomiques ORL : amygdale, langue, cavité orale, glande salivaire, parotide, ganglions
Il est réalisé en cas de douleurs, de suspicion ou d’extension de tumeur ORL, de lithiase.
Quelles sont les précautions à prendre pour une IRM ORL cervicale au centre IMBM à Paris ?
Lors de la réalisation de votre IRM ORL cervicale au centre IMBM à Paris, dans le 18ème, vous serez guidé par le manipulateur en radiologie. Il est nécessaire de suivre les contre-indications habituelles à l’ IRM:
- Pacemaker non compatible IRM
- Défibrillateur cardiaque implantable
- Certaines pompes implantées (pompe à insuline, pompe à médicaments)
- Implants cochléaires non compatibles
- Clips métalliques anciens dans le cerveau (ex : pour anévrisme)
- Corps étranger métallique dans l’œil (éclat de métal)
Comment se déroule une IRM ORL cervicale au centre IMBM Paris ?
L’examen dure environ 20 minutes. Le manipulateur vous guidera . Il sera nécessaire de rester strictement immobile. Une injection de produit de contraste à base de godilinium est souvent réalisée.
Une fois l’examen terminé, les clichés et un compte-rendu vous sont remis par le radiologue (temps d’attente : entre 30 et 45 minutes).
Si vous souhaitez quitter le cabinet uniquement avec les clichés, vous pourrez récupérer le compte rendu sur Internet, directement sur notre site, disponible à partir de 21h.
Quels sont les résultats possibles d’une IRM ORL cervicale ?
Cette examen permets de diagnostiquer:
- les adénopathies (ganglions augmentés de taille)
- les infections ORL ( abcès ou phlegmon amygdalien)
- les tumeurs de la parotide
- les masses ou tumeurs ORL ( amygdales, pharynx, larynx)
- les kystes cervicaux (kyste branchial)
- les neurofibromes, paragangliomes
Quel est le prix d’ une IRM ORL cervicale au centre IMBM Paris ?
Si vous souhaitez plus de précisions sur les tarifs d’une IRM ORL cervicale , vous pouvez joindre le secrétariat au 01.42.29.56.06.
Nous réalisons le tiers payant sur la part sécurité sociale ce qui limite l’avance des frais.
Le centre d’imagerie est conventionné avec option OPTAM afin d’assurer un remboursement satisfaisant par les mutuelles. Nous accueillons les patients CMU, C2S, AME, ALD, ACS et les 100%. Le centre est accessible aux brancards et aux fauteuils roulants, permettant un accès des patients hospitalisés en clinique, en maison de retraite (EHPAD), ou à l’hôpital.
Prendre rendez-vous pour votre IRM ORL cervicale à Paris
Le centre de scanner et d’ IRM IMBM (Imagerie Médicale Batignolles Montmartre) se situe dans le 18ème arrondissement, à deux pas du 17ème et du 9ème arrondissement. Il est accessible également depuis Saint-Denis, Saint-Ouen, Colombes , Asnières, Gennevilliers . Vous pouvez prendre votre rendez-vous pour votre IRM ORL cervicale sur Doctolib. Vous pouvez également nous appeler au 01 42 29 56 06.
