Prendre rendez-vous pour une IRM pancréatique à Paris sur Doctolib – Centre IMBM Paris
Quand pratique-t-on une IRM pancréatique avec bili IRM ?
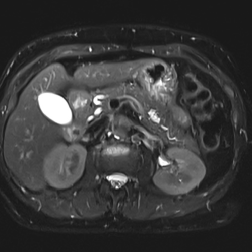
Cet examen est réalisé pour analyser le pancréas et les voies bilaires.
Quels sont les précautions à prendre pour une IRM pancréatique avec bili IRM à Paris ?
Lors de la réalisation de votre examen au cabinet de radiologie IMBM à Paris, dans le 18ème, vous serez guidé par le manipulateur en radiologie. Il est nécessaire de suivre les contre-indications habituelles à l’ IRM.
Comment se déroule votre IRM pancréatique avec cholangio IRM au centre IMBM Paris ?
L’examen dure environ 20 minutes. Le manipulateur vous guidera . Il sera nécessaire de rester strictement immobile.
Une fois l’examen terminé, les clichés et un compte-rendu vous sont remis par le radiologue (temps d’attente : entre 30 et 45 minutes).
Si vous souhaitez quitter le cabinet uniquement avec les clichés, vous pourrez récupérer le compte rendu sur Internet, directement sur notre site.
Quels sont les résultats possibles d’une IRM du pancréas ?
Cette examen permets d’analyser le parenchyme pancréatique et le canal de Wirsung. Il permet de diagnostiquer les cancers, adénocarcinomes du pancréas, TIPMP, cystadénome mucineux et séreux, tumeurs neuro endocrines.
Quel est le prix d’ une IRM du pancréas avec bili IRM au centre IMBM Paris ?
Nous réalisons le tiers payant sur la part sécurité sociale ce qui limite l’avance des frais.
Le centre d’imagerie est conventionné avec option OPTAM afin d’assurer un remboursement satisfaisant par les mutuelles. Nous accueillons les patients CMU, AME, ALD, ACS et les 100%. Le centre est accessible aux brancards et aux fauteuils roulants, permettant un accès des patients hospitalisés en clinique, en maison de retraite (EHPAD), ou à l’hôpital.
Si vous souhaitez plus de précisions sur les tarifs, vous pouvez joindre le secrétariat au 01.42.29.56.06
Prendre rendez-vous pour votre IRM du pancréas à Paris
Le centre IMBM (Imagerie Médicale Batignolles Montmartre) se situe dans le 18ème arrondissement, à deux pas du 17ème et du 9ème arrondissement Il est accessible également depuis Saint-Denis, Saint-Ouen, Colombes , Asnières, Gennevilliers . Vous pouvez prendre votre rendez-vous pour votre IRM pancréatique sur Doctolib. Vous pouvez également nous appeler au 01 42 29 56 06.
