Prendre rendez-vous pour votre IRM du pied ou de l’avant-pied à Paris sur Doctolib – Centre de radiologie IMBM Paris
Quand pratique-t-on une IRM du pied ?
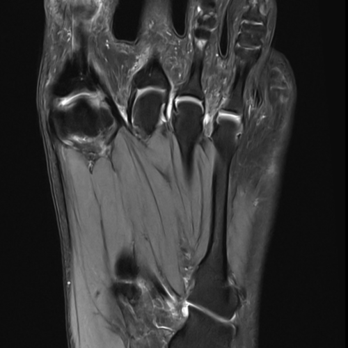
Cet examen est réalisé en cas de douleurs, traumatismes pour analyser :
- les os du pied :
Tarse : Talus (astragale), Calcaneum, Naviculaire, Cuboïde, Cunéiforme médial, Cunéiforme intermédiaire, Cunéiforme latéral
Les 5 métatarses
Les phalanges (orteils)
- Les articulations :
Articulation talo-crurale (cheville)
Articulation sous-talienne
Articulations tarso-métatarsiennes
Articulations métatarso-phalangiennes
- Les ligaments :
ligaments radio-carpiens
ligaments ulno-carpiens
ligaments intercarpiens
- Les muscles et tendons importants ( notamment tendon Achille) et aponévrose plantaire
- Les nerfs :
Nerf tibial
Nerf fibulaire profond
Nerf fibulaire superficiel
Quelles sont les précautions à prendre pour une IRM du pied au centre IMBM à Paris ?
Lors de la réalisation de votre IRM du pied au centre IMBM à Paris, dans le 18ème, vous serez guidé par le manipulateur en radiologie. Il est nécessaire de suivre les contre-indications habituelles à l’ IRM notamment :
- Pace-maker
- Défibrillateur cardiaque implantable
- Certaines pompes implantées (pompe à insuline, pompe à médicaments)
- Implants cochléaires non compatible
- Corps étranger métallique dans l’œil (éclat de métal)
Comment se déroule une IRM du pied au centre de scanner et IRM IMBM Paris ?
L’examen dure environ 15 minutes. Le manipulateur vous guidera . Il sera nécessaire de rester strictement immobile. Vous serez allongé sur le ventre en position dite « superman ».
Une fois l’examen terminé, les clichés et un compte-rendu vous sont remis par le radiologue (temps d’attente : entre 30 et 45 minutes).
Si vous souhaitez quitter le cabinet uniquement avec les clichés, vous pourrez récupérer le compte rendu sur Internet, directement sur notre site, disponible à partir de 21h.
Quels sont les résultats possibles d’une IRM du pied ?
Cette examen permets de diagnostiquer:
- Fractures notamment de fractures de fatigues
- Entorses et lésions ligamentaires : notamment entorse de Chopart ou du Lisfranc
- Pathologies nerveuses : notamment névrome de Morton
- Pathologies tendineuses : notamment tendinite du tendon d’ Achille, aponévrosite plantaire
- Pathologies articulaires : arthrose, polyarthrite rhumatoïde
- Nécrose osseuse
- Kystes arthro-synoviaux
Quel est le prix d’ une IRM du pied au centre IMBM Paris ?
Si vous souhaitez plus de précisions sur le tarif d’une IRM de l’avant pied, vous pouvez joindre le secrétariat au 01.42.29.56.06.
Nous réalisons le tiers payant sur la part sécurité sociale ce qui limite l’avance des frais.
Le centre d’imagerie est conventionné avec option OPTAM afin d’assurer un remboursement satisfaisant par les mutuelles. Nous accueillons les patients CMU, C2S, AME, ALD, ACS et les 100%. Le centre est accessible aux brancards et aux fauteuils roulants, permettant un accès des patients hospitalisés en clinique, en maison de retraite (EHPAD), ou à l’hôpital.
Prendre rendez-vous pour votre IRM du pied à Paris
La centre de Scanner et IRM IMBM (Imagerie Médicale Batignolles Montmartre) se situe dans le 18ème arrondissement, à deux pas du 17ème et du 9ème arrondissement. Il est accessible également depuis Saint-Denis, Saint-Ouen, Colombes , Asnières, Gennevilliers . Vous pouvez prendre votre rendez-vous pour votre IRM du pied sur Doctolib. Vous pouvez également nous appeler au 01 42 29 56 06.
