Prendre rendez-vous pour votre IRM prostatique à Paris sur Doctolib – Centre de radiologie IMBM Paris
Quand pratique-t-on une IRM de la prostate ?
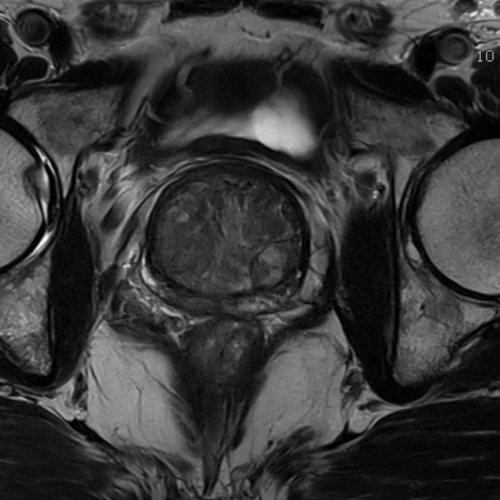
Cet examen est réalisé pour analyser la prostate, les vésicules séminales, les ganglions. Il est réalisé pour le dépistage du cancer de la prostate après dosage du PSA si celui ci augmente au dessus de 4 ng/mL.
Quels sont les précautions à prendre pour une IRM prostatique au centre IMBM à Paris ?
Lors de la réalisation de votre IRM de la prostate au centre IMBM à Paris, dans le 18ème, vous serez guidé par le manipulateur en radiologie. Il est nécessaire de suivre les contre-indications habituelles à l’ IRM notamment l’absence de pace maker . Une préparation est faite par lavement rectal pour vider l’ampoule rectale afin d’améliorer la qualité des images. Une injection de produit de contraste à base de gadolinium est généralement réalisée.
Comment se déroule IRM prostatique au centre IMBM Paris ?
L’examen dure environ 20 minutes. Le manipulateur vous guidera . Il sera nécessaire de rester strictement immobile. La préparation nécessite un lavement rectal pour améliorer la qualité de l’examen.
Une fois l’examen terminé, les clichés et un compte-rendu vous sont remis par le radiologue (temps d’attente : entre 30 et 45 minutes).
Si vous souhaitez quitter le cabinet uniquement avec les clichés, vous pourrez récupérer le compte rendu sur Internet, directement sur notre site, disponible à partir de 21h.
Quels sont les résultats possibles d’une IRM de la prostate ?
Cette examen permets de diagnostiquer:
- les cancers de la prostate
- les infections de la prostate (prostatite)
- les abcès de la prostate
- l’hypertrophie adénomateuse de la prostate
Le Score PIRADS est utilisé pour classer l’examen . Des biopsies échoguidées de prostate sont réalisées en cas de score PIRADS 4 ou 5
Quel est le prix d’ une IRM de la prostate au centre de radiologie IMBM Paris ?
Si vous souhaitez plus de précisions sur les tarifs d’une IRM de la prostate , vous pouvez joindre le secrétariat au 01.42.29.56.06. Nous réalisons le tiers payant sur la part sécurité sociale ce qui limite l’avance des frais.
Le centre d’imagerie est conventionné avec option OPTAM afin d’assurer un remboursement satisfaisant par les mutuelles. Nous accueillons les patients CMU, AME, ALD, ACS et les 100%. Le centre est accessible aux brancards et aux fauteuils roulants, permettant un accès des patients hospitalisés en clinique, en maison de retraite (EHPAD), ou à l’hôpital.
Prendre rendez-vous pour votre IRM prostatique à Paris
Le cabient d’ IRM IMBM (Imagerie Médicale Batignolles Montmartre) se situe dans le 18ème arrondissement, à deux pas du 17ème et du 9ème arrondissement. Il est accessible également depuis Saint-Denis, Saint-Ouen, Colombes , Asnières, Gennevilliers . Vous pouvez prendre votre rendez-vous pour votre IRM de la prostate sur Doctolib. Vous pouvez également nous appeler au 01 42 29 56 06.
