Prendre rendez-vous pour une IRM rénale et des surrénales à Paris sur Doctolib – Centre IMBM Paris
Quand pratique-t-on une IRM rénale et surrénales ?
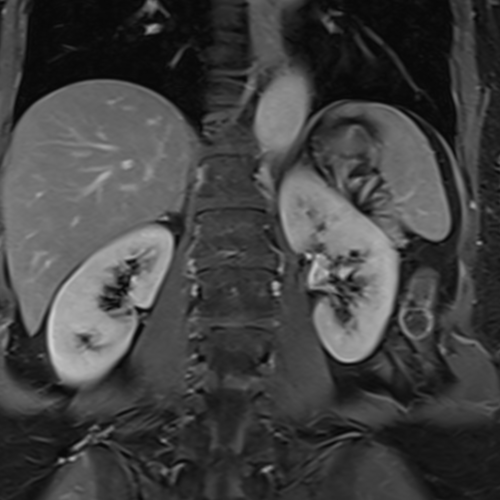
Cet examen est réalisé pour analyser le reins et les surrénales.
Quels sont les précautions à prendre pour une IRM rénale et des surrénales à Paris ?
Lors de la réalisation de votre examen au centre IRM IMBM à Paris, dans le 18ème, vous serez guidé par le manipulateur en radiologie. Il est nécessaire de suivre les contre-indications habituelles à l’ IRM.
Comment se déroule votre IRM rénale et des surrénales au centre IMBM Paris ?
L’examen dure environ 20 minutes. Le manipulateur vous guidera . Il sera nécessaire de rester strictement immobile.
Une fois l’examen terminé, les clichés et un compte-rendu vous sont remis par le radiologue (temps d’attente : entre 30 et 45 minutes).
Si vous souhaitez quitter le cabinet uniquement avec les clichés, vous pourrez récupérer le compte rendu sur Internet, directement sur notre site.
Quels sont les résultats possibles d’une IRM rénales et des surrénales ?
Cette examen permets d’analyser le parenchyme rénale et des surrénales. Il permet de diagnostiquer les cancers, adénocarcinomes des reins, les kystes qui sont classés selon Bosniak, tumeurs papillaires, carcinomes a cellules claires.
Quel est le tarif d’ une IRM rénale et des surrénales au centre IMBM Paris ?
Nous réalisons le tiers payant sur la part sécurité sociale ce qui limite l’avance des frais.
Le centre d’imagerie est conventionné avec option OPTAM afin d’assurer un remboursement satisfaisant par les mutuelles. Nous accueillons les patients CMU, AME, ALD, ACS et les 100%. Le centre est accessible aux brancards et aux fauteuils roulants, permettant un accès des patients hospitalisés en clinique, en maison de retraite (EHPAD), ou à l’hôpital.
Si vous souhaitez plus de précisions sur les tarifs, vous pouvez joindre le secrétariat au 01.42.29.56.06
Prendre rendez-vous pour votre IRM du rein et des surrénales à Paris
Le laboratoire d’ IRM IMBM (Imagerie Médicale Batignolles Montmartre) se situe dans le 18ème arrondissement, à deux pas du 17ème et du 9ème arrondissement Il est accessible également depuis Saint-Denis, Saint-Ouen, Colombes , Asnières, Gennevilliers . Vous pouvez prendre votre rendez-vous pour votre IRM rénale et des surrénales sur Doctolib. Vous pouvez également nous appeler au 01 42 29 56 06.
