Prendre rendez-vous pour votre IRM des articulations sacro-iliaques à Paris sur Doctolib – Centre de radiologie IMBM Paris
Quand pratique-t-on une IRM des articulations sacro-iliaques ?
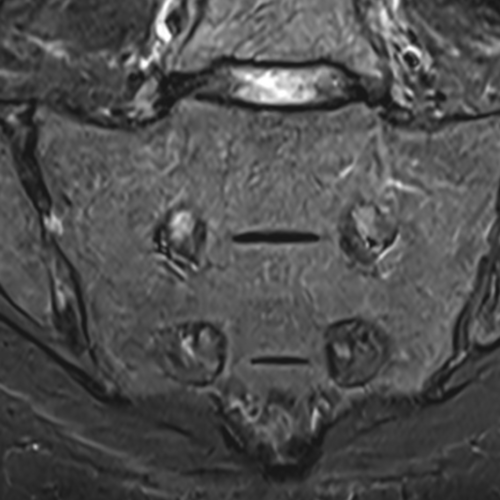
Cet examen est réalisé pour analyser les articulations sacro-iliaques en cas de douleurs, lombalgies ou fessalgies (pygalgies).
Quelles sont les précautions à prendre pour une IRM des sacro-iliaques au centre IMBM à Paris ?
Lors de la réalisation de votre IRM des articulations sacro-iliaques au centre IMBM à Paris, dans le 18ème, vous serez guidé par le manipulateur en radiologie. Il est nécessaire de suivre les contre-indications habituelles à l’ IRM notamment :
- Pace-maker
- Défibrillateur cardiaque implantable
- Certaines pompes implantées (pompe à insuline, pompe à médicaments)
- Implants cochléaires non compatible
- Corps étranger métallique dans l’œil (éclat de métal)
Comment se déroule une IRM des articulations sacro-iliaques au centre d’ IRM IMBM Paris ?
L’examen dure environ 15 minutes. Le manipulateur vous guidera . Il sera nécessaire de rester strictement immobile.
Une fois l’examen terminé, les clichés et un compte-rendu vous sont remis par le radiologue (temps d’attente : entre 30 et 45 minutes).
Si vous souhaitez quitter le cabinet uniquement avec les clichés, vous pourrez récupérer le compte rendu sur Internet, directement sur notre site, disponible à partir de 21h.
Quels sont les résultats possibles d’une IRM des sacro-iliaques ?
Cette examen permets de diagnostiquer:
- les sacro-iliites (inflammation de l’articulation) notamment dans la Spondylarthrite ankylosante ( SPA ) avec :
œdème osseux (inflammation active)
érosions de l’os
synovite (inflammation de la membrane articulaire)
épanchement articulaire
- les atteintes chroniques (lésions anciennes) de sacro-iliites :
sclérose osseuse
ponts osseux
ankylose (fusion de l’articulation)
- les arthrose sacro-iliaques :
pincement de l’espace articulaire
ostéophytes (petites excroissances osseuses)
sclérose de l’os
- les sacro-iliite infectieuses :
inflammation importante
abcès possible
atteinte des tissus autour
- l’ostéose condensante : Il s’agit d’une condensation de l’os (sclérose) au niveau de la partie iliaque de l’articulation sacro-iliaque
Quel est le prix d’ une IRM des sacro-ilaiques au centre IMBM Paris ?
Si vous souhaitez plus de précisions sur les tarifs d’une IRM des articulations sacro-iliaques , vous pouvez joindre le secrétariat au 01.42.29.56.06.
Nous réalisons le tiers payant sur la part sécurité sociale ce qui limite l’avance des frais.
Le centre d’imagerie est conventionné avec option OPTAM afin d’assurer un remboursement satisfaisant par les mutuelles. Nous accueillons les patients CMU, C2S, AME, ALD, ACS et les 100%. Le centre est accessible aux brancards et aux fauteuils roulants, permettant un accès des patients hospitalisés en clinique, en maison de retraite (EHPAD), ou à l’hôpital.
Prendre rendez-vous pour votre IRM des sacro-iliaques à Paris
Le centre de radiologie et d’ IRM IMBM (Imagerie Médicale Batignolles Montmartre) se situe dans le 18ème arrondissement, à deux pas du 17ème et du 9ème arrondissement. Il est accessible également depuis Saint-Denis, Saint-Ouen, Colombes , Asnières, Gennevilliers . Vous pouvez prendre votre rendez-vous pour votre IRM des sacro-iliaques sur Doctolib. Vous pouvez également nous appeler au 01 42 29 56 06.
