Prendre rendez-vous pour votre scanner hépatique (foie) à Paris sur Doctolib – Centre de radiologie IMBM Paris
Quand pratique-t-on un scanner hépatique ?
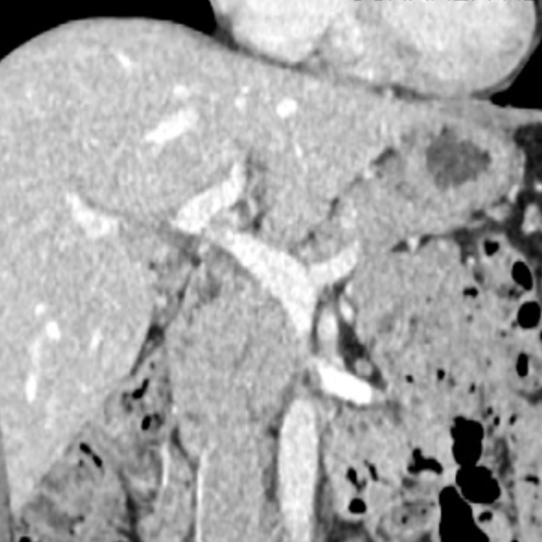
Cet examen est réalisé pour analyser le foie. Le foie est le plus volumineux des viscères abdominaux (environ 1,5 kg chez l’adulte), situé dans l’hypocondre droit, juste sous le diaphragme.
On lui distingue 2 faces :
- La face diaphragmatique (supérieure) : Convexe, elle épouse la forme du diaphragme. Elle est divisée en deux lobes par le ligament falciforme :
- Le lobe droit : Le plus volumineux.
- Le lobe gauche : Plus petit et aminci.
- La face viscérale (inférieure) : C’est ici que se trouve le hile du foie, la porte d’entrée et de sortie des vaisseaux.
Le foie est divisé en 8 segments indépendants (classification de Couinaud), possède une double vascularisation (veine porte et artère hépatique) et les voies biliaires .
Le foie fabrique la bile (environ 500 à 1000 ml par jour). Elle circule dans de petits canaux qui se rejoignent pour former le canal hépatique commun. Elle est stockée dans la vésicule biliaire (le petit sac vert sous le foie). Lors des repas, elle est expulsée par le canal cholédoque vers le duodénum (où elle rejoint le canal du pancréas).
Le scanner hépatiqu est réalisé en cas de douleurs abdominales, de suspicion de cancer hépatique, de cirrhose.
Quelles sont les précautions à prendre pour un scanner du foie (scanner hépatique) au centre IMBM à Paris ?
Lors de la réalisation de votre scanner ( tomodensitométrie ) hépatique au centre IMBM à Paris, dans le 18ème, vous serez guidé par le manipulateur en radiologie. Une injection de produit de contraste iodée est généralement réalisée. Il est nécessaire de suivre les contre-indications habituelles au scanner :
- Grossesse
- Allergie à l’iode
Comment se déroule un scanner du foie au centre IMBM Paris ?
Le TDM hépatique dure environ 10 minutes. Le manipulateur vous guidera . Il sera nécessaire de rester strictement immobile. Une injection de produit de contraste à base d’iode est souvent réalisée. On réalise souvent un protocole « triphasique » (passage sans contraste, puis phase artérielle et phase portale). Une phase tardive est souvent réalisée.
Une fois l’examen terminé, les clichés et un compte-rendu vous sont remis par le radiologue (temps d’attente : entre 30 et 45 minutes).
Si vous souhaitez quitter le cabinet uniquement avec les clichés, vous pourrez récupérer le compte rendu sur Internet, directement sur notre site, disponible à partir de 21h.
Quels sont les résultats possibles d’un scanner hépatique ?
Cette examen permets de diagnostiquer:
- La stéatose
- La cirrhose, l’hypertension portale
- Les cavernomes, thrombose portale
- Les tumeurs bénignes : kyste, HNF (Hyperplasie Nodulaire Focale), Hémangiome
- Les tumeurs malignes : Carcinome Hépatocellulaire (CHC), Métastases, Cholangiocarcinome
L’examen est souvent complété par une IRM hépatique ou une bili IRM .
Quel est le prix d’ un scanner hépatique au centre IMBM Paris ?
Si vous souhaitez plus de précisions sur les tarifs d’une tomodensitométrie du foie , vous pouvez joindre le secrétariat au 01.42.29.56.06.
Nous réalisons le tiers payant sur la part sécurité sociale ce qui limite l’avance des frais.
Le centre d’imagerie est conventionné avec option OPTAM afin d’assurer un remboursement satisfaisant par les mutuelles. Nous accueillons les patients CMU, C2S, AME, ALD, ACS et les 100%. Le centre est accessible aux brancards et aux fauteuils roulants, permettant un accès des patients hospitalisés en clinique, en maison de retraite (EHPAD), ou à l’hôpital.
Prendre rendez-vous pour votre scanner hépatique à Paris
La centre d’imagerie d IMBM (Imagerie Médicale Batignolles Montmartre) se situe dans le 18ème arrondissement, à deux pas du 17ème et du 9ème arrondissement. Il est accessible également depuis Saint-Denis, Saint-Ouen, Colombes , Asnières, Gennevilliers . Vous pouvez prendre votre rendez-vous pour votre scanner du foie sur Doctolib. Vous pouvez également nous appeler au 01 42 29 56 06.
