Prendre rendez-vous pour votre scanner rénal et uroscanner à Paris sur Doctolib – Centre de radiologie IMBM Paris
Quand pratique-t-on un scanner rénal ?
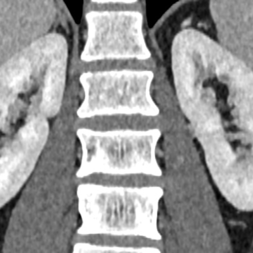
Cet examen est réalisé pour analyser le rein, les uretères et la vessie. Les autres structures anatomiques de l’abdomen seront également analysées.
Le scanner rénal est réalisé en cas de douleurs, de masse rénal, d’hématurie.
Quelles sont les précautions à prendre pour un scanner rénal ( uroscanner ) au centre IMBM à Paris ?
Lors de la réalisation de votre scanner rénal (uroscanner) au centre IMBM à Paris, dans le 18ème, vous serez guidé par le manipulateur en radiologie. Une injection de produit de contraste iodée est généralement réalisée. Il est nécessaire de suivre les contre-indications habituelles au scanner :
- Grossesse
- Allergie à l’iode
Comment se déroule un scanner rénal au centre IMBM Paris ?
L’examen dure environ 10 minutes. Le manipulateur vous guidera . Il sera nécessaire de rester strictement immobile. Une injection de produit de contraste à base d’iode est souvent réalisée.
Une fois l’examen terminé, les clichés et un compte-rendu vous sont remis par le radiologue (temps d’attente : entre 30 et 45 minutes).
Si vous souhaitez quitter le cabinet uniquement avec les clichés, vous pourrez récupérer le compte rendu sur Internet, directement sur notre site, disponible à partir de 21h.
Quels sont les résultats possibles d’un scanner rénal (uroscanner) ?
Cette examen permets de diagnostiquer:
- Les lithiases (calculs rénaux) .
- Les tumeurs rénales .
- Les abcès .
- Les pyélonéphrites
- Les dilatations des cavités rénales
- Les sténoses des artères rénales
- Les kystes classés selon Bosniak
| Grade | Description | Risque de Malignité | Conduite à tenir |
| I | Kyste simple : Paroi fine, contenu liquide pur (noir au scanner), pas de cloisons. | ~0% | Rien à faire (Bénin). |
| II | Kyste bénin « minimalement complexe » : Quelques fines cloisons (< 2 mm), fines calcifications. | ~0% | Rien à faire. |
| I
IF |
« F » pour Follow-up (Suivi) : Cloisons plus nombreuses ou légèrement épaisses. | ~5 – 10% | Surveillance par imagerie régulière. |
| III | Kyste suspect : Parois ou cloisons épaisses (> 3 mm) et irrégulières qui prennent le contraste. | ~50% | Chirurgie (ou biopsie parfois). |
| IV | Lésion maligne : Masse solide associée au kyste, parois très épaisses, nodules. | > 85% | Chirurgie (Néphrectomie partielle ou totale). |
Quels sont les différents types de tumeur rénale ?
Voici les principaux types rencontrés en anatomo-pathologie :
1. Le Carcinome à Cellules Rénales (CCR)
C’est la forme la plus fréquente, représentant environ 90 % des cancers du rein chez l’adulte. Il prend naissance dans les cellules des tubules (le système de filtration). On en distingue trois sous-types principaux :
- À cellules claires (75-80 %)
- Papillaire (10-15 %)
- Chromophobe (5 %)
2. Les types plus rares (Moins de 5 %)
- Carcinome des canaux collecteurs (de Bellini) : Très rare et très agressif
- Carcinome médullaire : Une forme extrêmement rare qui touche presque exclusivement les jeunes patients porteurs du trait de la drépanocytose.
- Sarcomes rénaux
3. Le cas particulier de l’enfant : Néphroblastome
Aussi appelé Tumeur de Wilms, c’est le cancer du rein le plus fréquent chez l’enfant (généralement avant 5 ans). Grâce aux progrès de la chimiothérapie et de la chirurgie, le taux de guérison est aujourd’hui excellent (supérieur à 90 %).
4. Les tumeurs bénignes (Non cancéreuses)
- Angiomyolipome (AML) : Une tumeur composée de vaisseaux, de muscles et de graisse. C’est la présence de graisse au scanner qui permet au radiologue de dire qu’elle est bénigne.
- Oncocytome : Très difficile à différencier d’un cancer au scanner, il nécessite souvent une biopsie ou une analyse après chirurgie pour confirmer sa bénignité.
Quel est le prix d’ un scanner rénal (uroscanner) au centre IMBM Paris ?
Si vous souhaitez plus de précisions sur les tarifs d’un scanner rénal (uroscanner) , vous pouvez joindre le secrétariat au 01.42.29.56.06.
Nous réalisons le tiers payant sur la part sécurité sociale ce qui limite l’avance des frais.
Le centre d’imagerie est conventionné avec option OPTAM afin d’assurer un remboursement satisfaisant par les mutuelles. Nous accueillons les patients CMU, C2S, AME, ALD, ACS et les 100%. Le centre est accessible aux brancards et aux fauteuils roulants, permettant un accès des patients hospitalisés en clinique, en maison de retraite (EHPAD), ou à l’hôpital.
Prendre rendez-vous pour votre scanner rénal (uroscanner) à Paris
La clinique de scanner et d’ IRM IMBM (Imagerie Médicale Batignolles Montmartre) se situe dans le 18ème arrondissement, à deux pas du 17ème et du 9ème arrondissement. Il est accessible également depuis Saint-Denis, Saint-Ouen, Colombes , Asnières, Gennevilliers . Vous pouvez prendre votre rendez-vous pour votre scanner rénal (uroscanner) sur Doctolib. Vous pouvez également nous appeler au 01 42 29 56 06.
